
随着医院网络信息化技术的飞速发展,由于经验丰富的医学专家教授是有限的,而且多集中在大城市。基层患者想要更好的就医只能长途跋涉,一方面使患者疲于来回之间的路程,另一方面延误了病情,更好的医疗资源却无法共享。远程医疗会诊系统作为传统医疗的补充,利用新的信息化技术,可以更高效的为病人提供诊疗服务。

跨广域网高清视频实时传输
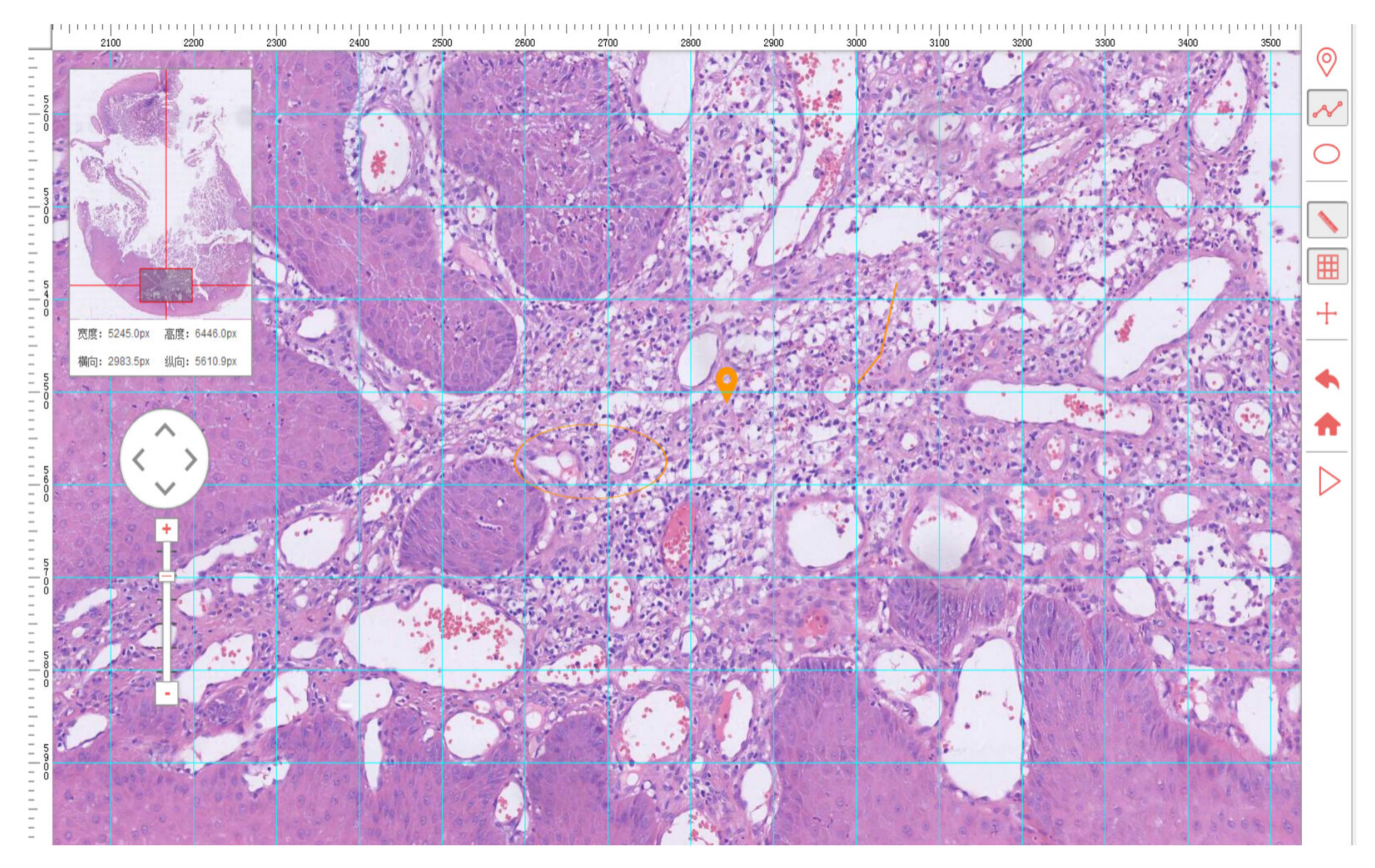
图片色彩、清晰度不失真
不受空间限制
有助于疑难病例快速诊断
减少会诊的时间和经费,提高工作效率

系统使用B/S架构,在有网络的情况下随时随地都可以使用。
多线程技术提高传输速率,提高了单位时间图像的传输量。
系统是采用多线程编程技术,支持实时采集并实时传输,采集发送的频率可根据网速自行调整避免网络拥堵。
专家方与发送方看到的图像大小及清晰度完全相同,图像大小占屏幕60-80%以上,语音清晰流畅。
远程遥控异地的自动显微镜和在线视频及通话功能,视频清晰,通话流畅。
可以进行实时文字对话交流,并可以修改字体的颜色、大小、字体等参数。
远程会诊记录,聊天记录自动保存,会诊参与人员存储。
可同时连接多个专家会诊。
每张切片无限数量标记和注释,并通过标注自动查找切片中的对应位置。
支持形态学教学、临床诊断(病理诊断、远程会诊等)、科学研究等。
互联网访问,提供多种预览方式,支持平板、手机等访问设备。